Get in touch
We'll get back to you within 24 hours
Enquiry Form
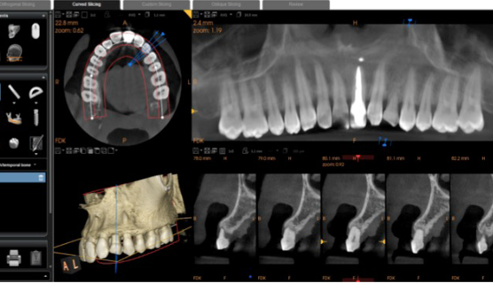
Prosthetic-driven implant planning in CS 3D Imaging software showing merged CBCT and intraoral scan data
Home Clinical Insights Guided Implant Surgery Workflow
Implantology Guided Surgery CS 8100 3D · CS 3D Imaging

From CBCT Scan to Guided Implant Placement — The Complete Digital Workflow

A step-by-step walkthrough of a fully digital implant case: intraoral scan, CBCT, prosthetic-driven planning in CS 3D Imaging, SMOP surgical guide, guided drilling, and an immediate screw-retained temporary crown. This is the workflow every implant dentist wants to master.

Dr Mathieu Rousset Dr Mathieu Rousset
8 min read
April 2026
UL3 site
Implant position
Guided
Surgical approach
Immediate
Temporary crown
CS 8100 3D
CBCT system
01 The clinical challenge

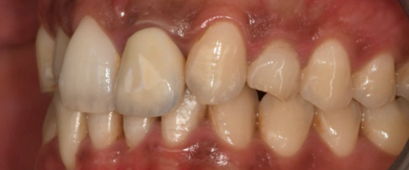
The patient presented with agenesis (congenital absence) of the upper left first premolar and the upper right lateral incisor. Previous orthodontic treatment had addressed the spacing, and the lateral incisor site had been left unrestored. Over time, the upper left canine (UL3) had drifted significantly into the wrong position.

The decision was made to extract the displaced UL3 and place an implant at the same site — an immediate placement following extraction. This type of case demands precision: the implant position has to be driven by the final prosthetic outcome, not just the available bone. Get the angle or position wrong by a couple of millimetres and the restoration either looks wrong, functions poorly, or both.

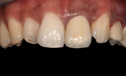
Initial clinical situation showing displaced upper left canine Initial occlusal view of the displaced canine site
Initial situation The upper left canine has drifted into the premolar space following orthodontic treatment. The decision was made to extract and place an implant, driven by the final prosthetic position.
02 The digital workflow

This case followed a fully digital pathway from diagnosis to surgery. Every step was connected — data flowed from one stage to the next without manual re-entry or guesswork.

The six-step guided surgery pipeline
1
Intraoral scan
2
CBCT scan
3
Prosthetic planning
4
Guide design
5
Guided surgery
6
Temp crown

Step 1 — Digital impression. An intraoral scan captured the soft tissue anatomy and the existing dentition. This provides the prosthetic reference — showing the software exactly where the final crown needs to sit.

Digital impression captured with an intraoral scanner — buccal view Digital impression captured with an intraoral scanner — occlusal view
Step 1 Digital impressions captured with an intraoral scanner, providing the soft tissue and prosthetic reference data for the planning software.

Step 2 — CBCT scan. A 3D volume was acquired using the Carestream CS 8100 3D. The CBCT confirmed root resorption on the UL3 (supporting the extraction decision) and provided the bone volume data needed for implant planning.

CBCT analysis within CS 3D Imaging software showing cross-sectional views of the implant site
Step 2 CBCT volume analysed in CS 3D Imaging software. Cross-sectional views confirm bone dimensions and root resorption on the UL3.

Step 3 — Prosthetic-driven implant planning. This is the key step. The CS 3D Imaging Prosthetic-Driven Implant Planning module automatically merged the CBCT volume with the intraoral scan — aligning hard tissue (bone) with soft tissue (gingiva and teeth) in a single view. The implant was then positioned using a crown-down approach: the ideal restoration position determined the implant axis, not the other way around.

CS 3D Imaging automatically merging CBCT and intraoral scan data for prosthetic-driven planning Implant position planned using crown-down approach in CS 3D Imaging
Step 3 The Prosthetic-Driven Implant Planning module in CS 3D Imaging software automatically merges the CBCT and intraoral scan. The implant is positioned based on the ideal crown position — not just the available bone.

Step 4 — Transfer to SMOP and guide design. With a single click, the entire plan — 3D volume, digital impression, implant position, and references — transferred from CS 3D Imaging to SMOP guided surgery software. No need to reload data, manually align scans, or re-plan the implant position. The SMOP service centre designed the surgical guide and 3D-printed it, shipping it back with a Thommen Medical guided surgery sleeve.

Implant planning data transferred from CS 3D Imaging to SMOP guided surgery software SMOP software displaying the transferred implant plan
Step 4a One-click transfer from CS 3D Imaging to SMOP — no manual re-alignment or re-planning required.
Surgical guide designed in SMOP software Surgical guide design detail in SMOP software
Step 4b Surgical guide designed in SMOP software. The guide only partially covers adjacent teeth — providing full site visibility, better cooling during drilling, and easier instrument access.
3D-printed surgical guide with Thommen guided surgery sleeve Printed surgical guide seated on the dental model
Step 4c The 3D-printed surgical guide with integrated Thommen Medical guided surgery sleeve, ready for the surgical appointment.
03 The surgery and outcome

Step 5 — Guided drilling and implant placement. On the day of surgery, UL3 was extracted. The tooth-supported surgical guide was seated on the adjacent teeth and its fit verified. The SMOP guide design left the surgical site fully visible — giving the clinician direct sight of the osteotomy while still controlling the drill angle and depth.

Thommen Medical guided surgery kit laid out for the procedure
Thommen Medical guided surgery kit — the complete instrumentation set compatible with the SMOP surgical guide and sleeve system.
Guided drilling sequence — initial pilot drill through the surgical guide Guided drilling sequence — progressive osteotomy widening
Drilling sequences The osteotomy followed the guided path precisely. Full visibility of the site and controlled cooling throughout.

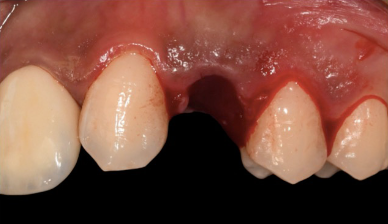
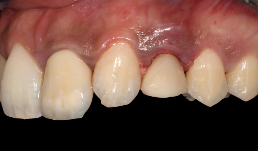
A Thommen ELEMENT RC implant (4.0 mm diameter, 11 mm length) with Inicell superhydrophilic surface was placed. The final 3D position matched the pre-operative plan exactly.

Post-placement view confirming the implant position matches the 3D plan exactly
Plan vs reality The three-dimensional implant position is identical to the pre-operative 3D plan. This is the precision that guided surgery delivers.

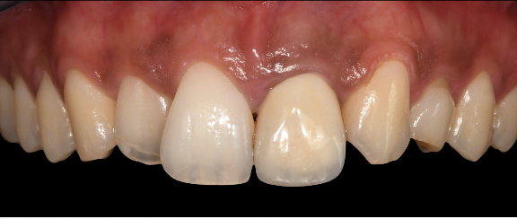
Step 6 — Immediate temporary restoration. A VARIOtemp abutment was placed, and a screw-retained temporary crown (designed by the lab in Dentalwings software and milled pre-operatively) was fitted immediately. A tunneling technique with a collagen membrane and porcine-origin hydroxyapatite was used to encourage bone regeneration and maintain the papillae.

VARIOtemp abutment placed for the screw-retained temporary restoration Collagen membrane and bone graft material prepared for the regenerative procedure
Immediate restoration VARIOtemp abutment in place (left). Collagen membrane and hydroxyapatite graft material for the regenerative tunneling technique (right).
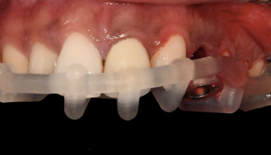
Screw-retained temporary crown seated — buccal view Screw-retained temporary crown seated — occlusal view
Final result The screw-retained temporary crown seated immediately after implant placement. The patient leaves the appointment with a fixed tooth in place from day one.

The streamlined workflow between CS 3D Imaging and SMOP saved significant time. There was no need to reload data or manually re-align the scans — the planning transferred with a single click. That kind of integration is what makes guided surgery practical in everyday private practice, not just in university departments.

— Based on the clinical workflow of Dr Mathieu Rousset
04 Key takeaways
G

Want to learn this workflow hands-on?

We are running a guided implant surgery course in July 2026 at our Yorkshire education facility — covering prosthetic-driven planning, surgical guide design, and guided placement. Limited places available.

Register your interest →
What this case means for your practice
01

Prosthetic-driven planning puts the crown first. The implant position was determined by where the final restoration needed to be — not by where the bone happened to be easiest to drill. CS 3D Imaging's Prosthetic-Driven Planning module merges your CBCT and intraoral scan automatically, so you plan from the crown down in a single software environment.

02

One-click transfer to SMOP eliminates re-work. The biggest friction point in guided workflows has always been moving data between planning and guide software. The direct CS 3D Imaging → SMOP integration removes that entirely. No manual alignment, no re-planning, no risk of introducing errors between systems.

03

Guided surgery is not just for complex cases. This was a single-unit implant — not a full-arch reconstruction. The precision and predictability of a guided approach apply to every implant you place. If you are already taking CBCTs and intraoral scans, you are closer to guided surgery than you think.

04

CBCT interpretation is the foundation. Every guided workflow starts with a CBCT scan that someone has to read and interpret correctly. Our CBCT Level 2 Reporting Course builds the systematic interpretation skills you need before you can plan with confidence — covering bone assessment, anatomical landmarks, and structured reporting.

Dr Mathieu Rousset
About the clinician
Dr Mathieu Rousset
Periodontist & Implantologist · Private Practice, France
Dr Rousset holds a Doctor of Dental Surgery degree along with advanced certificates in biomaterials, surgical dentistry, maxillofacial imaging, periodontology, and CAD/CAM. He holds an Inter-European University Diploma in Implantology and practises exclusively in periodontology and implantology. He is a KOL for Thommen Medical, an EMS speaker, and the founder and director of AMPIO — a training association for periodontology and implantology.
Equipment used in this case

Carestream CS 8100 3D

Panoramic, cephalometric, and CBCT imaging in a single compact unit. The 75-micron high-resolution mode provided the bone volume data for prosthetic-driven implant planning.

View Carestream CBCT range →

CS 3D Imaging Software

The Prosthetic-Driven Implant Planning module automatically merged the CBCT and intraoral scan, enabling crown-down implant positioning with one-click transfer to SMOP.

View CS 3D Imaging Premium →

Ready to bring guided implant surgery into your practice?

Scroll to Top